2026年4月15日

根管治療は、むし歯が進行して歯髄にまで達した際に行う重要な処置です。
治療には複数回の通院が必要となるため、痛みが和らぐと「もう治ったかも」と感じて通院をやめてしまう方もいらっしゃいます。
しかし、根管治療を途中で中断すると、細菌が再び増殖し、さまざまなトラブルを招きかねません。
最悪の場合、抜歯が必要になることもあるのです。
根管治療とは・・・歯の命を救うための処置
根管治療は、むし歯菌に感染した歯髄や細菌の固まりなどの汚れをきれいに取り除き、痛み・症状を抑えて歯の寿命を伸ばす治療です。
歯髄は血管を含む歯の神経で、歯根に通る管状の空洞である根管を満たし、歯の知覚と栄養供給を司っています。

強い痛みを伴うむし歯や抜歯を勧められてしまうような重いむし歯でも、きちんと根管治療が行われれば、自身の歯を残したまま歯の機能を取り戻すことができます。
根管治療には2つの治療パターンがあります。
一つは初めて神経を取り除く場合の**抜髄(ばつずい)**で、もう一つはむし歯が深くなり歯髄が細菌に感染した場合や神経を取り除いた後に再び感染を起こした場合に行う**感染根管治療**です。
根管治療を途中でやめると起こる7つのリスク
根管治療を中断した場合、以下のようなリスクが発生します。
痛みが再発する
治療中に痛みが和らいでも、根管内部にはまだ細菌や炎症性の組織が残っています。
その状態で通院を中断すると、歯の神経周辺に細菌が再び増殖し、再発性の激しい痛みを生じやすくなります。
痛みが悪化すると食事や睡眠にも支障をきたすため、指示どおりに通院を続けることが大切です。
感染が拡大する
根管内部は治療によって無菌に近い状態に保たれていますが、中断すると無菌状態が維持されなくなります。
口内には多種の細菌が存在しており、洗浄・消毒を繰り返さないまま放置すると、残存した菌や新たな菌が侵入して繁殖しやすくなります。
結果として歯根周囲の組織が炎症を起こし、膿を伴う嚢胞が形成されたり、骨吸収が進行したりするリスクが高まります。
隣接する歯も感染する
根管治療では、抜髄といって歯の神経を抜く処置を施します。
神経を抜くとそれまで感じていた歯の痛みが解消されるわけですが、そこで安心して根管治療を途中で放置してしまう方は少なくありません。
しかし、痛みを感じなくなったからといっても、むし歯菌はまだ根管内にあるのです。
この段階で放置すれば、むし歯が進行するだけでなく隣接する歯もむし歯菌に感染してしまう可能性が出てきます。

歯根の破折リスクが高くなる
神経と血管を除去した歯は本来の栄養供給が断たれ、歯質がもろくなります。
根管治療を終えずに空洞のまま放置すると、根の内部に隙間が生じ、咀嚼時や歯ぎしりなどの負荷を受けるたびに歯根にひびが入りやすくなります。
ひび割れからさらに細菌が侵入し、歯根破折が発生すると歯を残すことが困難になるケースが増えるでしょう。
治療期間が延長する
一度治療を中断すると、再開時に再度検査や消毒のステップからやり直す必要があります。
時間が経過しているほど根管内に新たな感染が生じやすく、短期間での感染コントロールが難しくなります。
その結果、初回から継続した場合に比べて通院回数や治療期間が大幅に増え、患者さまのスケジュールにも負担がかかります。
仮歯が外れる
根管治療中は被せ物の準備が整うまで仮歯を装着しますが、仮歯は長期間の使用を想定していません。
治療を中断すると、噛み合わせや外力で仮歯が外れたり、微小な隙間ができたりします。
その隙間から細菌が根管内に侵入すると、再感染やむし歯の悪化が進行しやすくなります。
治療費が増える
途中で中断し、再感染や追加処置が生じると、当初の見積もり以上の費用がかかります。
再度レントゲン撮影や薬剤の追加、場合によっては抜歯が必要になり、入れ歯やブリッジ、インプラント治療が必要になるケースもあります。
治療計画どおりに進めれば抑えられるはずの費用の負担が、通院を継続しないことで想定外に膨らむ点に注意が必要です。
根管治療を中断しやすいタイミング
根管治療を中断してしまいがちなタイミングがあります。
痛みが治まった時
治療によって痛みが和らぐと「もう治った」と勘違いしてしまう方がいらっしゃいます。
しかし、痛みが消えても根管内の細菌は完全には除去されていません。
この段階で通院をやめると、細菌が再び増殖し、症状が悪化する可能性が高まります。
仮蓋をした時
根管治療では、治療と治療の間に仮蓋をして根管内を保護します。
仮蓋をすると一時的に安定したように感じますが、これはあくまで一時的な処置です。
仮蓋のまま放置すると、細菌が侵入しやすくなり、治療効果が失われてしまいます。

被せ物を装着する前
根管治療の最終段階では、被せ物を装着して歯の機能を回復させます。
しかし、この段階で通院をやめてしまうと、せっかく行った治療が無駄になってしまいます。
被せ物を装着するまでが根管治療の一連の流れですので、最後まで通院を続けることが重要です。
忙しさやスケジュールの都合
仕事や家庭の事情で通院が難しくなることもあるでしょう。
しかし、治療を中断すると、後々さらに多くの時間と費用がかかることになります。
歯科医院と相談しながら、無理のないスケジュールで通院を続けることをお勧めします。
根管治療の流れ・・・最後まで続けることの大切さ
根管治療は、以下のような流れで進められます。
診断、治療計画の立案と説明
まず、口腔内の状態を確認し、レントゲン検査やCT検査などの詳しい検査を行います。
検査結果を踏まえて治療方針を決定します。
麻酔をして虫歯除去を行う
切削器具を用いてむし歯や被せ物を除去し、汚染された根管内の歯髄を露出させ、処置をしやすくします。
このとき、神経が残っている状態であれば麻酔は不可欠となります。
根管内の清掃、消毒
手用器具を用いて感染歯髄を除去し、薬液による根管内の洗浄・消毒を行います。
この工程を症状がおさまるまで何度か行います。
根管内が完全にきれいになるまで通院していただかなくてはなりません。

薬剤を充填する
根管がきれいに清掃、消毒され、症状の改善が認められれば、充填剤を緊密に詰める根管充填を行います。
ガッタパーチャと呼ばれるゴム状の樹脂やMTAセメントで根管内をしっかりと無菌状態で封鎖し、細菌が再び侵入しないようにします。
土台の装着
抜髄や感染根管治療で神経を抜いた歯は、経年的に歯質が弱くなり、破折が起こりやすくなります。
そのため歯を金属や樹脂を用いて補強する支台築造を行います。
被せ物の装着
その土台に被せ物を付け、歯の形態及び機能を回復させて根管治療は終了です。
処置後の経過を観察し、良好であれば被せ物を作製し取り付けて治療は終了です。
当院の根管治療の特長・・・最新の技術と設備を導入
当院では、マイクロスコープ、歯科用CT、ニッケルチタンファイルといった、現在、根管治療に有用とされている設備や技術を積極的に導入し、より精密な根管治療を行っています。
マイクロスコープによる精密治療
根管治療で重要なのは精密性です。
縫い針程度の太さしかない根管内を掃除する治療であり、細かい処置の連続でミクロン単位の正確さが求められます。
当院では視野を**20倍**にまで拡大できるマイクロスコープを導入し、より精密で確実な根管治療をめざしています。
従来と比較すると、圧倒的に精密で質の高い治療を行うことができます。

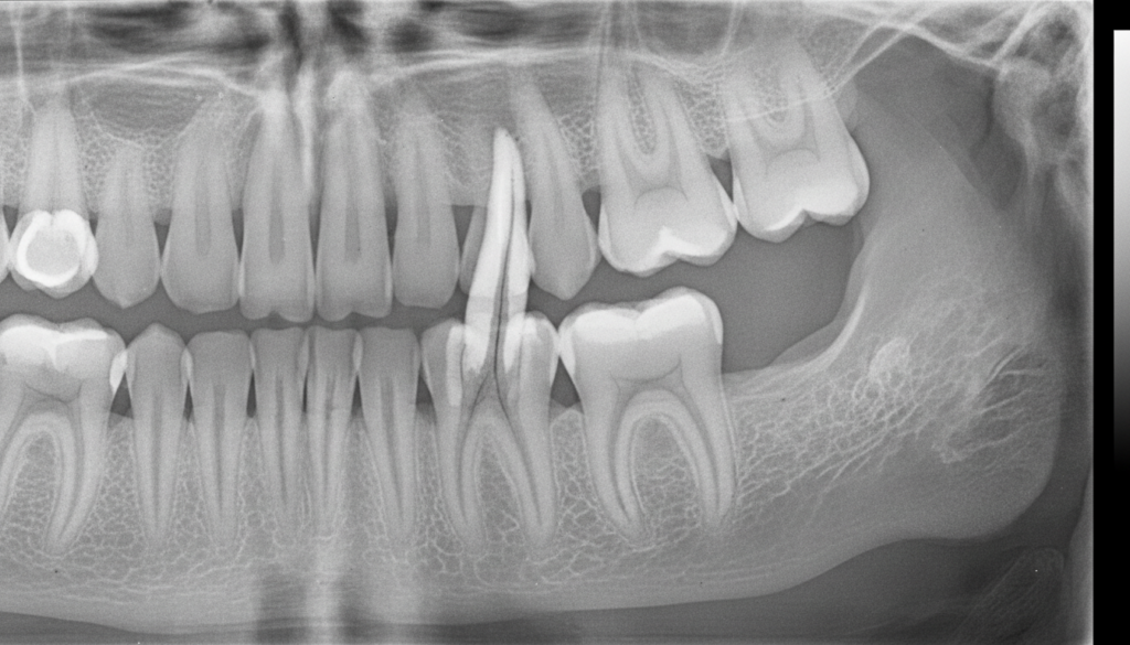
歯科用CTによる正確な診断
歯科用CTは3次元の立体画像で歯のレントゲンを撮ることができる装置です。
根管は複雑な形状であるうえ、歯によっては数本に分岐しています。
平面のレントゲン画像では確認できない細部も、歯科用CTの立体画像なら詳細に把握できるため、より一層精密な診査診断、治療が可能になります。
ニッケルチタンファイルの使用
根管治療では、歯髄を除去するためにファイルと呼ばれる器具を使用します。
ニッケルチタンファイルは超弾性の性質を持ち、曲がった根管に沿ってしっかり入っていきます。
根管を不必要に傷つけることなく、精密に歯髄の除去が可能です。
根管治療が必要となるケース
根管治療の適応症としては、次のような疾患があります。
歯髄炎(しずいえん)
むし歯が進行して歯髄にまで達すると歯髄炎が起こります。
歯髄炎では継続する痛みを伴ったり、何もしなくてもズキズキ痛んだりします。
細菌感染を起こした歯髄をきれいに取り除く、抜髄と呼ばれる治療が必要となります。
歯髄壊死(しずいえし)
歯髄炎を放置してしまうと歯髄壊死という歯髄(神経)が死んだ状態になり、温度刺激による痛みを感じなくなります。
外傷などで脱臼した歯が歯髄壊死になる場合もあります。
根尖性歯周炎(こんせんせいししゅうえん)
細菌が歯の根に達すると、歯と歯槽骨の間にある歯根膜に炎症が広がって根尖性歯周炎と呼ばれる状態になります。
自覚症状はなくてもレントゲンでみつかることがあります。
根尖性歯周炎は、むし歯の放置によって起こることもありますが、過去に根管治療で神経を取った歯で起こることのほうが頻度として多いといえます。
まとめ・・・最後まで治療を続けることが歯を守る
根管治療を途中でやめると、痛みの再発や感染拡大、隣接歯への感染、歯根破折、治療期間の延長、治療費の増加など、さまざまなリスクが生じます。
最悪の場合、抜歯が必要になることもあります。
根管治療は複数回の通院が必要となりますが、最後まで治療を続けることで、ご自身の歯を残したまま歯の機能を取り戻すことができます。
痛みが和らいでも、治療が完了するまで通院を続けることが大切です。
当院では、マイクロスコープ、歯科用CT、ニッケルチタンファイルといった最新の設備を導入し、精密な根管治療を提供しています。
患者さまに寄り添った治療計画を提案し、痛みに配慮した精密治療に対応しています。
根管治療でお悩みの方は、ぜひ一度ご相談ください。詳しい治療内容や通院スケジュールについては、かわむら歯科 根幹治療のページをご覧ください。
治療を再開したいときはWEB予約へ
痛みが落ち着いても原因が残っていることがあります。途中で通えなくなった場合も、再開しやすい導線を置いておくと行動につなげやすくなります。WEB予約はこちら
関連リンク
治療ページ
関連記事
根管治療で膿を出すのはなぜ?歯の根に膿がたまる原因と治療の考え方
次の一歩
通院が空いてしまった場合でも、今の状態を確認することはできます。再発や腫れが気になるときは、無理のない範囲で早めに相談しておくと安心です。WEB予約に進む
著者情報
院長
河村 省吾

経歴
2005年3月福岡県立明善高等学校理数科 卒業2005年4月九州大学歯学部 入学2011年3月九州大学歯学部 卒業2011年4月九州大学病院歯科医師臨床研修2012年4月医療法人瑞帆会むらおか歯科医院 勤務2025年3月かわむら歯科 開院
